关于我们
公司简介
企业文化
公司荣誉
固定义齿
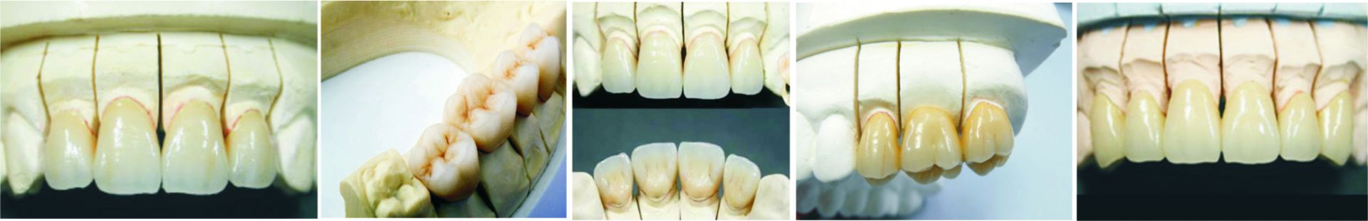
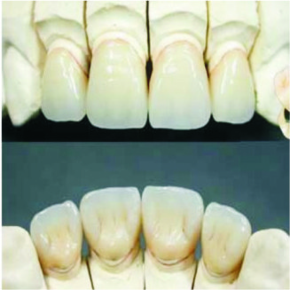
二氧化锆全瓷牙
全瓷
非贵金属烤瓷牙
贵金属烤瓷牙
钴铬合金烤瓷牙
纯钛烤瓷牙
金沉积烤瓷牙
镀金烤瓷牙
活动义齿
钢托(纯钛钢托)
胶托
隐形义齿
不碎胶
精密附着体
双套冠
设备展示
最新动态
公司新闻
行业新闻
站内公告
联系我们
全瓷
您的位置:
首页
固定义齿
全瓷
烤瓷牙
3D激光打印无铍烤瓷牙 内冠采用不含铍的Stellite N9齿科镍基铸造合金与德国VITA95(3D)瓷粉相结合焙烧而成,避免了普通金属含铍元素对牙龈组织的过敏,红肿和发黑的现象。 优点:经济实惠美观耐用;避免崩瓷避免牙龈发炎;红肿生物相溶性较好; 3D激光打印钴格合金烤瓷牙 钴铬合金烤瓷牙是典型的一种非贵金属烤瓷牙,它具有较强的金属稳定性,耐腐蚀性较强;有着美观、自然、牢固、耐磨等优点。 优点:形态美观,颜色逼真极高的; 硬度和耐磨性价格适中; 适合大众人群
2022-06-01 14:25:59
3918