关于我们
公司简介
企业文化
公司荣誉
固定义齿
二氧化锆全瓷牙
全瓷
非贵金属烤瓷牙
贵金属烤瓷牙
钴铬合金烤瓷牙
纯钛烤瓷牙
金沉积烤瓷牙
镀金烤瓷牙
活动义齿
钢托(纯钛钢托)
胶托
隐形义齿
不碎胶
精密附着体
双套冠
设备展示
最新动态
公司新闻
行业新闻
站内公告
联系我们
钢托(纯钛钢托)
您的位置:
首页
活动义齿
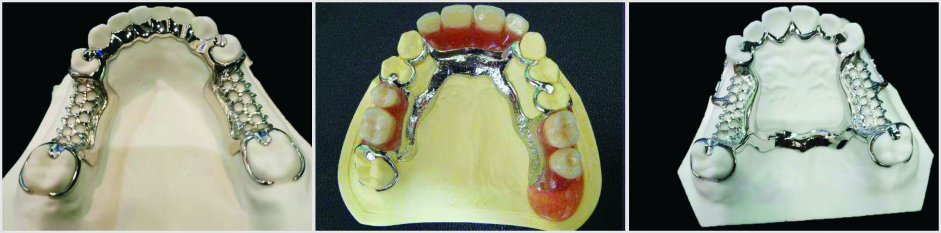
钢托(纯钛钢托)
维他灵完美支架
维他灵应力中断设计理念:
良好的物理特性,极佳的生物相容性和柔韧度:
改变传统义齿的受力方式,使咬合力分散到整个支架,极大程度上减少基牙受到扭力,达到基牙保护的日的。
2022-05-31 14:12:41
3956